Orthopedic Surgery
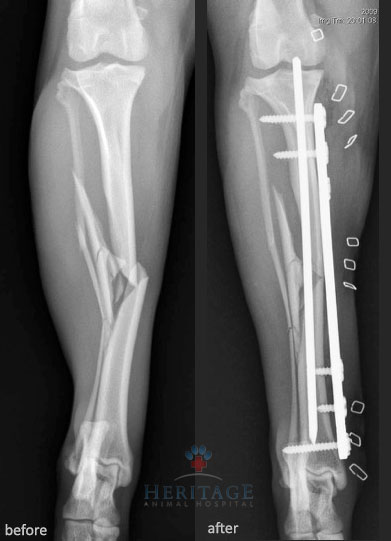
Orthopedic pet surgery corrects and prevents a wide range of issues treating dogs and cats with injuries and diseases of the musculoskeletal system. Dogs of any age or breed can tear knee ligaments, most commonly the anterior cruciate ligament (ACL) and cranial cruciate ligament (CCL). Varying degrees of lameness are caused by this rupture. If one or both knees are coupled with a tear of a meniscus in the knee, it is very debilitating and painful.
Some orthopedic surgeries:
- TPLO (Tibial Plateau Leveling Osteotomy) — torn cranial cruciate ligament
- Fractures — when hit by a car or other accidents
- Rupture of the anterior cruciate ligament or cranial cruciate ligament
- Hip dysplasia — genetic trait of many dog breeds
- Elbow dysplasia — common in large breed dog


